がたがた・でこぼこの矯正を大阪府枚方市で
がたがた・でこぼこ(叢生)
Case-sousei
大阪府枚方市の歯列矯正専門医院 |辻村矯正歯科
Tel. 072-804-0418
がたがた・でこぼこの矯正を大阪府枚方市で
がたがた・でこぼこ(叢生)
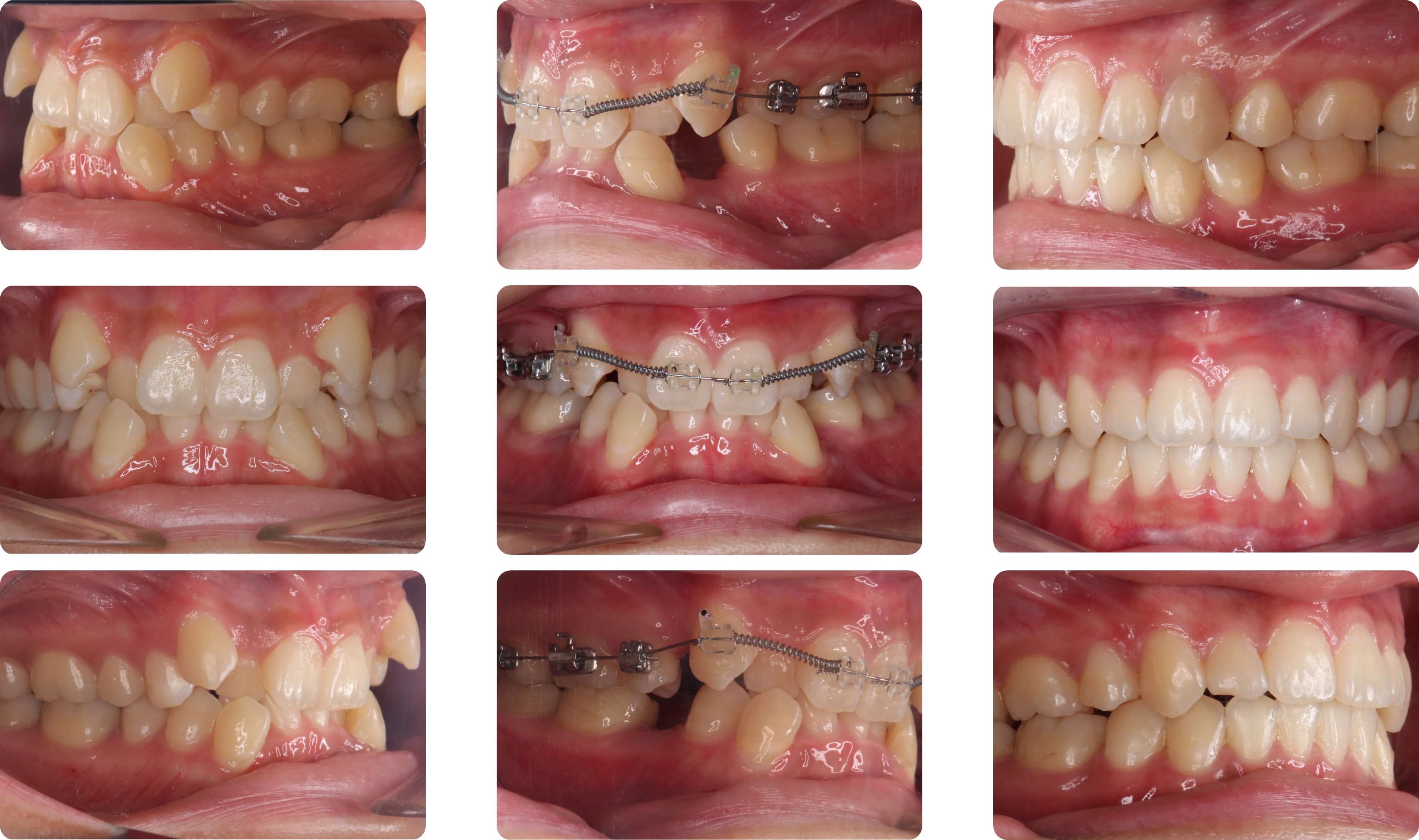
Case-sousei歯並びのアーチが狭いことや、もともとの歯のサイズが基準値よりも大きいことなどが原因で歯並びががたがたになってしまっている状態を叢生といいます。
歯を綺麗に並べるスペースをつくるために抜歯をしたり、歯並びのアーチを広げるなど、原因に合わせた治療を行います。

| 初診時年齢 | 17歳10ヶ月 |
|---|---|
| 主訴 | がたがた |
| 診断名 | Ⅰ級叢生 |
| 装置名 | 上顎:リンガルブラケット矯正装置 下顎:マルチブラケット装置 |
| 抜歯の有無 | 非抜歯 |
| 治療期間 | 2年9ヶ月 |
| 費用の目安 | 約\1,100,000 |
| リスク副作用 | ページ下部に記載 |

| 初診時年齢 | 19歳 |
|---|---|
| 主訴 | 八重歯 |
| 診断名 | Ⅲ級叢生 |
| 装置名 | 上顎:マルチブラケット装置 |
| 抜歯の有無 | 上顎4番・4番 下顎5番・4番 |
| 治療期間 | 2年 |
| 費用の目安 | 約\308,000 (当時の金額) |
| リスク副作用 | ページ下部に記載 |
治療例